
Enfermedad celiaca con presentación atípica. Caso Clínico
La enfermedad celíaca es la intolerancia permanente a las proteínas del gluten; del trigo (gliadina), del centeno (secalina), de la cebada (hordeína) y del triticale (híbrido del trigo y centeno). La avena en estado puro (no contaminada por harina de trigo) no parece relacionarse con la patogénesis de la enfermedad.
Dres.: Indhira Alparo Herrera*, Nelson Ramírez Rodríguez**, Roxana Quisbert Cruz***
* Pediatra Gastroenteróloga. Hospital del Niño “Dr. Ovidio aliaga Uría”. La Paz
** Pediatra Gastroenterólogo. Hospital Materno Infantil. La Paz
*** Residente de Primer año. Hospital del Niño “Dr. Ovidio Aliaga Uría”. La Paz
Rev Soc Bol Ped 2012; 51 (1): 19-22
Correspondencia: Dr. Indhira Alparo, correo electrónico: indhirawara@hotmail.com
Resumen
Presentamos tres casos clínicos de pacientes que fueron internados en el Hospital del Niño “Dr. Ovidio Aliaga Uría” por enfermedad celiaca con manifestaciones clínicas de presentación infrecuentes.
Palabras Claves: Enfermedad celiaca, presentación atípica.
Introducción
La enfermedad celíaca es la intolerancia permanente a las proteínas del gluten; del trigo (gliadina), del centeno (secalina), de la cebada (hordeína) y del triticale (híbrido del trigo y centeno). La avena en estado puro (no contaminada por harina de trigo) no parece relacionarse con la patogénesis de la enfermedad.
La causa de la enfermedad es desconocida y en su desarrollo contribuyen factores genéticos, ambientales e inmunológicos.
La auténtica prevalencia de la enfermedad celíaca en diversos países del mundo y el nuestro se ha modificado en las últimas décadas, se sugiere una prevalencia de 1/100 a 1/300 de la población en general1-2.
En Bolivia no tenemos ningún estudio que identifique claramente o que intente realizar la detección de enfermedad celíaca por diversos factores que básicamente sería la base genética.
La enfermedad celíaca puede presentarse con síntomas leves y atípicos e incluso puede estar presente en individuos totalmente asintomáticos; diferentes revisiones sugieren realizar estudios con anticuerpos antigliadina (IgA e IgG) y posteriormente anticuerpos antiendomisio, siendo estos
últimos más aconsejables en niños mayores de 5
años.
Como la prevalencia de enfermedad celíaca en la población infantil en Bolivia no se conoce, el hallazgo de casos clínicos como los que se presentan a continuación son importantes para llamar la atención y realizar estudios para definir la verdadera prevalencia de esta entidad en la población infantil boliviana.
Caso clínico # 1
Paciente de 11 meses de edad, sexo femenino, procedente y residente de La Paz. Ingresó al servicio de Gastroenterología del Hospital del Niño en fecha 28-01-10.
Producto del segundo embarazo, parto eutócico, institucional, madre realizó controles prenatales que transcurrieron sin complicaciones. Peso de naciiento: 3000g. Desarrollo psicomotor adecuado.
Presentó displasia congénita de cadera tratada sin problemas. Vacunas completas para la edad. Alimentación: lactancia materna exclusiva hasta los 3 meses, posteriormente fórmula láctea inicial y papillas de arroz; a los 6 meses se introdujo cereales.
Abuelo materno de origen alemán.
Ingresó por un cuadro clínico de 8 meses de evolución, caracterizado por un pobre incremento de peso. Recibió en su centro de salud, tratamiento nutricional sin ninguna modificación en la curva de crecimiento. A su ingreso: peso: 6.090 g, talla 68.5 cm; relación P/T: -3DE, T/E: menor que -1 DE y P/E menor que – 3 DE. Aspecto enflaquecida, ligeramente pálida, desarrollo psicomotor adecuado para la edad y sin alteraciones en el examen físico segmentario. Los diagnósticos de ingreso fueron: desnutrición grave secundaria y posible enfermedad de reflujo gastroesofágico o alergia alimentaria.
Los exámenes complementarios solicitados, destacan: hemograma que muestra una anemia leve con hemoglobina 108 g/L, Glóbulos blancos 8.92 x 109/L (Linfocitos 83%). Grupo sanguíneo A Rh positivo.
Química sanguínea: Creatinina, NUS, TGO, TGP, Bilirrubinas, proteínas, albúmina, Ionograma, glicemia, calcemia dentro de parámetros normales.
PCR no reactivo. Examen general de orina y urocultivo: normal. Hormonas tiroideas dentro de parámetros normales. Tinción Ziehl Neelzen para Criptosporidium negativo. IgA secretoria salival disminuido: 0.344 (rango de referencia 1.246 a 2.072), IgA suero normal: 66 mg/dL (rango de referencia 15 a 110 mg/dL), IgE en suero normal: 4.1 UI/mL (rango de referencia menor a 15 UI/mL). Anticuerpos: anti-endomisio elevado: 13.33 (valor de referencia menor a 5.7 UI/mL), anti-transglutaminasa elevado: 6.89 (valor de referencia menor a 6.0 UI/mL). Biopsia intestinal: con incremento de linfocitos intraepiteliales, MARSH grado I-II.
El resultado del estudio histopatológico junto a los anticuerpos confirmaron la enfermedad celiaca.
Caso clínico # 2
Paciente de 1 año y 5 meses de edad, sexo masculino procedente y residente de la localidad de Coroico. Ingresó en el servicio de Gastroenterología del Hospital del Niño el 23-05-11.
Producto del tercer embarazo y parto eutócico (padres desconocen el peso de nacimiento). Desarrollo psicomotor adecuado. Vacunas completas para la edad. Alimentación: lactancia materna exclusiva hasta los 6 meses, posteriormente alimentación complementaria de la olla familiar y fórmula de continuación. Ambos padres campesinos nativos de la misma región, sin antecedentes patológicos.
El cuadro clínico data de once meses de evolución, caracterizado por: deposiciones alteradas en consistencia y con frecuencia de cinco veces por día, lientería, vómitos de contenido gástrico y dolor abdominal intermitente hace tres meses. Fue internado en el hospital de Coroico en dos oportunidades recibiendo tratamiento con metronidazol, cotrimoxazol y zinc. Ante la persistencia de la lientería es que deciden transferirlo a nuestro hospital.
A su ingreso: peso 9.600 g, Talla 78 cm. Relación P/T: menor que M y T/E: menor que M. Ligeramente pálido, desarrollo psicomotor adecuado y examen segmentario normal. Los diagnósticos de ingreso fueron: diarrea crónica, enteroparasitosis por epidemiología, enteropatía ambiental a descartar y anemia.
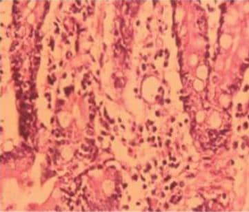
Se realizaron diversos exámenes de laboratorio como parte del protocolo de diarrea crónica dentro los cuales destacan: hemograma que muestra unaanemia (hemoglobina 101 g/L). Grupo sanguíneo: O Rh positivo. Química sanguínea: ionograma, glicemia y calcemia dentro de parámetros normales. Examen general de orina y urocultivo: normal. Test de Felhing negativo. Serología para Rotavirus negativo. Coproparasitológico seriado: negativo. Anticuerpos anti-endomisio elevado: 7 UI/mL (valor de referencia menor a 5.7 UI/mL), Anti-transglutaminasa elevado: 7 UI/mL (valor de referencia menor a 6.0 UI/mL). Biopsia intestinal que informa: relación vellosidad cripta preservada, aumento del número de linfocitos intraepiteliales, MARSH grado I – ll (Figura # 1); con estos resultado se llegó al diagnóstico de enfermedad celiaca.

Figura 1. Biopsia intestinal: linfocitos intraepiteliales aumentados, MARSH I – II
Caso clínico # 3
Paciente de 12 años y 3 meses de edad, sexo masculino procedente y residente de la ciudad de la Paz.
Producto del tercer embarazo y parto eutócico a término, sin complicaciones. Desarrollo psicomotor adecuado. Vacunas completas para la edad. Alimentación: lactancia materna exclusiva hasta los 6 meses, posteriormente alimentación complementaria con introducción de cereales y fórmula de continuación, actualmente toma leche sin lactosa. Antecedentes familiares: madre y abuelo materno con dificultades en el incremento de peso.
Cuadro clínico con antecedentes de incremento de peso lento y dificultoso desde la lactancia y hace un año presencia de dolor abdominal difuso y deposiciones líquidas alternadas con deposiciones de características normales y curva de crecimiento estacionaria.
Consultó en varias oportunidades y se le realizaron diversos exámenes de laboratorio, mismos que concluían siempre con parámetros normales.
A su ingresó destacó: peso: 34.800 Kg, talla 150 cm. IMC 15.4. Buen estado general y examen físico normal. El diagnóstico en sala fue: enfermedad celiaca a descartar.
Exámenes complementarios realizados: Hemograma normal. IgA secretoria salival disminuida: 0.889 (Rango de referencia 1.246 a2.072). IgA suero normal: 164 mg/dL (Rango de referencia 40 a 350 mg/dL). IgE en suero normal: 9.5 UI/mL (Rango de referencia menor a 200 UI/mL). Anticuerpos antiendomisio elevado: 7.23 (valor de referencia menor a 5.7 UI/ml). Ac. anti-transglutaminasa elevado: 6.51 (valor de referencia menor a 6.0 UI/ml). Biopsia intestinal: eteropatia leve, MARSH grado I-II.
Esofagogastroduodenoscopia; normal. Con estos resultados se concluyó que el paciente es portador de una enfermedad celiaca.
Discusión
La enfermedad celiaca sin sintomatología clásica es actualmente la más frecuente. Se han descripto cuadros pausi o mono-sintomáticos, como nuestros paciente, en diferentes regiones del mundo.
El daño de la mucosa intestinal con el gluten oscila desde únicamente incremento de la población linfocitaria, como los casos que presentamos, hasta formas avanzadas de atrofia vellositaria. Con cualquiera de estas formas histológicas la enfermedad puede cursar con diversos estados carenciales: anemia, osteopenia u osteoporosis y otros síntomas digestivos y extradigestivos con la clasificación de Marsh modificada por Rostami:
Marsh I: aumento aislado del número de linfocitos intraepiteliales.
Marsh II: Similar a la anterior pero con hiperplasia de las criptas.
Marsh III a, b y c:
- Atrofia vellositaria parcial con infiltrado leve de linfocitos intraepiteliales e hiperplasia de criptas.
- Atrofia vellositaria subtotal, hiperplasia de criptas y aumento de linfocitos intraepiteliales.
- Atrofia vellositaria total y lesión hiperplásica e infiltrativa grave.
Entre las formas clínicas de presentación existen varias que sugieren síntomas inespecíficos:
Enfermedad celíaca clásica: con síntomas graves de malabsorción, anticuerpos séricos positivos, atrofia grave de vellosidades y antecedentes genéticos positivos.
Enfermedad pauci o monosintomática: una de las formas más frecuentes, puede cursar con síntomas intestinales y/o extraintestinales, alteraciones histológicas variables y anticuerpos positivos en porcentaje también variable (15-100%) dependiendo de la gravedad histológica.
Enfermedad celiaca silente: no existen manifestaciones clínicas, pero si lesiones histológicas características y anticuerpos positivos.
Enfermedad celiaca latente: mucosa intestinal normal, en individuos que consumen gluten en su dieta habitual, con o sin anticuerpos positivos y que en algún momento de su vida presentarán características clásicas de la enfermedad.
Enfermedad celiaca potencial: individuos que no tienen ninguna alteración histológica, ninguna característica clínica de la enfermedad pero con características genéticas positivas para la misma (HLA DQ2-DQ8) con o sin anticuerpos positivos; ellos presentan un riesgo potencial de enfermedad celiaca.
Todos los casos expuestos fueron egresados en buen estado general, con indicaciones específicas de dieta con exclusión de gluten y la evolución fue favorable, existiendo adecuado incremento de peso y resolución de los síntomas que motivaron su ingreso al hospital. Queda pendiente los controles para definir conducta posterior: biopsia intestinal de control y/o enfrentamiento al gluten.
De los pacientes descritos en esta serie de casos, dos tienen descendencia europea y uno es hijo de familias de originarios bolivianos, cuya sintomatología con cambio dietético de exclusión de gluten ha sido espectacular.
Considerar la ausencia de esta patología en nuestra población es totalmente inaceptable, la existencia de este cuadro y su detección precoz constituye un reto para el sistema de salud boliviana y la comunidad pediátrica en su conjunto.
Referencias Bibliográficas
1. Carlsson AK, Axelsson IE, Borulf SK, Bredberg AC, Ivarsson SA. Serological screening for celiac disease in healthy 2-5 year-old children in Sweden. Pediatrics 2001;107:42-5.
2. Cilleruelo P, Román E, Jiménez J, Rivero M, Barrio Torres J. Enfermedad Celíaca silente: explorando el iceberg en población escolar . An Esp Pediatr 2002;57:321-6.
3. Marsh MN. Gluten, major histocompatibility complex, and the small intestine. A molecular and inmunobiologic approach to the spectrum of gluten sensitivity (“Celiac Sprue”). Gastroenterology 1992;102:330-54.
4. Farrell RJ, Kelly CP. Diagnosis of celiac sprue. Am J Gastroenterol 2001;96:3237-46.
5. Polanco I. Diagnóstico precoz de enfermedad celiaca. JPGN 2005;40:1-19.
6. Polanco I. Roldán B, Arranz M. Documento Técnico. Protocolo de prevención secundaria de la enfermedad celíaca. Dirección General Salud Pública y Alimentación Madrid. 2006.







