
Un caso de diabetes no primaria
Mujer, 54 años. Trabaja como auxiliar administrativo. No antecedentes familiares de interés. Ex-fumadora desde el 2003 con un índice acumulado de 15 paquetes- año. Niega otros hábitos tóxicos. Sin otros antecedentes de interés.
Marta Alvarado Blasco, Olaya Madrid Pascual, Ángel Coto López
Extraído del compendio de casos clínicos presentados al I Curso de Casos Clínicos de Diabetes, 2013, Organizado por la Sociedad de Medicina Interna de Madrid y Castilla La Mancha
SOMIMACA 2013
Resumen
Mujer de 54 años sin antecedentes familiares ni personales de interés que consulta en atención primaria por pérdida progresiva de peso sin otra clínica acompañante.
Es diagnosticada de diabetes mellitus por hallazgo analítico (varias glucemias en ayunas >300 mg/dL).
Por mala tolerancia a metformina, se indica insulinoterapia.
A pesar de correcto control glucémico, sigue perdiendo peso. ¿Es la diabetes la única responsable del cuadro?
Antecedentes personales
Mujer, 54 años. Trabaja como auxiliar administrativo. No antecedentes familiares de interés. Ex-fumadora desde el 2003 con un índice acumulado de 15 paquetes- año. Niega otros hábitos tóxicos. Sin otros antecedentes de interés.
Historia Clínica Actual
Consulta en Médico de Atención Primaria (MAP) en febrero de 2013 por pérdida de peso de 15 kg en 10 meses. Peso inicial: 75kg, IMC inicial 26,6.Peso en el momento de la consulta en MAP: 60 kg. Niega anorexia, astenia, clínica cardinal y cualquier otra sintomatología acompañante. No alteraciones aparentes en la exploración física.
Es diagnosticada de diabetes mellitus por hallazgo bioquímico (glucemia en ayunas de 356 mg/dL; comprobada), siendo el resto de la analítica normal (incluido péptido C). Se inicia tratamiento con metformina que se retira por intolerancia digestiva. Se inicia tratamiento con insulina glargina con aumento progresivo de dosis para un control glucémico óptimo. En marzo de 2013, la paciente se encuentra asintomática, ha ganado dos kilogramos de peso (peso en ese momento: 62 kgs) y sus perfiles glucémicos reflejan buen control. En mayo de 2013, comienza con dolor dorsolumbar continuo pero con empeoramiento nocturno, irradiado hacia adelante en cinturón, asociado a anorexia, náuseas y dispepsia.
Se le realiza radiografía de columna que no muestra hallazgos relevantes. Se le diagnostica de lumbalgia mecánica y se le indica omeprazol e ibuprofeno, con lo que no mejora. Durante el seguimiento, la paciente presenta nueva pérdida progresiva de peso y deterioro del estado general. En julio de 2013, se deriva para estudio.
Exploración física
Temperatura 36ºC, T.A. 135/80 mmHg, FC 90 lpm, Talla 1.68 cm, Peso 50 Kgs, IMC 17.7, Glucemia capilar en ayunas 74 mg/dL. Regular estado general. Eupneica en reposo. Tolera decúbito. Bien hidratada y perfundida. Hábito delgado. Cabeza, cuello, fondo de ojo: sin alteraciones. A.C. Rítmica, sin soplos. AP: Murmullo vesicular conservado, sin estertores. ABD: RHA presentes de características normales, blando y depresible, no doloroso a la palpación, no masas ni megalias. EEII: Pulsos pedios presentes y simétricos, no edemas, no IVC, no TVP. No palpación de adenopatías a ningún nivel. No apofisalgias. Exploración neurológica sin alteraciones.
Datos complementarios y/o procedimientos diagnósticos
Análisis de sangre: HEMOGRAMA: Hb 14.6 g/dL (VCM 92, CHCM 33), leucocitos 8.100 (fórmula normal), plaquetas 208.000. BIOQUÍMICA: Glucosa 103 mg/dL, creatinina 0.62 mg/dL, Na 142, K 4.6, Cl 101, proteínas totales 6.64 g/dL, albúmina 4.15 g/dL, calcio 9.7, GPT 20 UI/L, GOT 16 UI/L, GGT 58 U/L, FA 50 U/L, LDH 157 U/L, Bilirrubina 0.54. PCR 0.2 mg/dL. COAGULACÍON: sin alteraciones. PERFIL LIPÍDICO: Colesterol 203 (LDL 132, HDL 52), Triglicéridos 97. EEF: Albúmina 55%, Alfa17%, Alfa2 11.63%, Beta 15%, Gamma 12%. SEROLOGÍA VIH: negativa. MARCADORES TUMORALES: CEA 4.45, Ca 19.9: 99.7.TSH: normal. HBA1c: 6,7%. PERFIL FÉRRICO: normal. AUTOINMUNIDAD e Inmunoglobulinas: negativo. Sistemático y sedimento de orina: normal.
Rx de tórax, Rx de abdomen, Rx dorsolumbar: sin alteraciones relevantes. ECO ABDOMINAL: sin alteraciones relevantes. ECG: sin alteraciones.
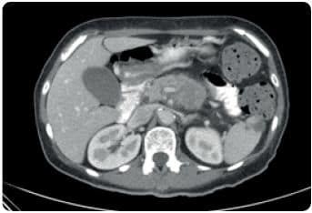
TAC toracoabdominopélvico: masa localizada en cuerpo y cola pancreática compatible con neoplasia con probable afectación vascular. Lesión focal hepática de 6 mm indeterminada con este estudio, sin poder descartar afectación secundaria. Imagen hipodensa de morfología triangular sugestiva de infarto esplénico.
Adenopatía retroperitoneal para aórtica izquierda única (9 mm de eje menor). RMN hepática: Lesión focal hepática en segmento 4 que por su intensidad de señal y comportamiento en el estudio dinámico es sugestiva de depósito secundario.
ECOENDOSCOPÍA ALTA: Lesión en cuerpo de páncreas hipoecogénica sólida de contornos irregulares (35 x 41 mm) de aspecto maligno. Compromiso vascular del tronco celíaco y arteria mesentérica superior (uT4). BIOPSIA: Adenocarcinoma de páncreas.
Ver imagen a la derecha.
Diagnóstico diferencial
La paciente no presenta antecedentes familiares de diabetes, ha sido diagnosticada recientemente de diabetes y presenta importante síndrome constitucional. Estas circunstancias obligan a hacer diagnóstico diferencial entre diabetes tipo 2 (por su alta prevalencia), diabetes secundarias (MODY, relacionada con otras enfermedades endocrinas, relacionada con patología pancreática, relacionada con hemocromatosis, …) y pancreatitis autoinmune.
Diagnóstico
Adenocarcinoma de páncreas estadio IV. Diabetes mellitus secundaria. Lumbalgia referida.
Actitud terapéutica
Discutido el caso en sesión de tumores: paciente no candidata a cirugía; indicación de quimioterapia con intención paliativa. Educación diabetológica. Ajuste progresivo de dosis de insulina glargina (al alta, 14 UI en el desayuno). Posteriormente, durante su ingreso en Oncología y en relación al uso de esteroides durante el primer ciclo de quimioterapia, presentó mal control glucémico (hiperglulcemia no cetósica), necesitando aumento de dosis de insulina glargina (26 UI en el desayuno) y el uso de insulina ultrarrápida en comida y cena.
Discusión
La relación entre la diabetes y el cáncer de páncreas es compleja. A pesar de que los mecanismos fisiopatológicos aún no han sido del todo aclarados, estudios epidemiológicos apoyan que la diabetes es un factor de riesgo para el desarrollo del cáncer de páncreas. Además, el cáncer de páncreas es causa de diabetes (1). Reconocer en qué casos la diabetes es secundaria a un cáncer de páncreas no diagnosticado, ayudaría a poder hacer un diagnóstico y un tratamiento precoz de esta neoplasia y así mejorar su pronóstico. En relación a esto, actualmente existen varios problemas. Por un lado, la rentabilidad de realizar cribado de cáncer de páncreas en toda la población diabética es muy baja dada la alta incidencia de diabetes mellitus en la población general. Por otro, actualmente no está bien definido qué personas se beneficiarían de someterse al cribado de cáncer de páncreas ni qué método diagnóstico utilizar. De acuerdo con la literatura, se ha observado que, en aquellos pacientes con diagnóstico reciente de diabetes, el riesgo de ser diagnosticado de cáncer de páncreas es de 5 a 8 veces mayor (2) y que, a diferencia de lo sucedido en la diabetes tipo 2, existe importante pérdida de peso (3).
Algunos autores, en base a resultados de estudios retrospectivos, proponen realizar cribado de cáncer de páncreas en los pacientes con diagnóstico reciente de diabetes que reúnan las siguientes características: edad superior a 50 años, sobrepeso inicial, pérdida importante de peso, antecedentes familiares de cáncer de páncreas y ausencia de antecedentes familiares de diabetes (4).
Varias líneas de investigación trabajan en la obtención de marcadores específicos que permitan la aproximación al diagnóstico de diabetes asociada a cáncer de páncreas (Ca 19.9, drenomedulina, etc.). La paciente de nuestro caso presentaba varias características que obligaban a descartar una diabetes secundaria; finalmente, fue diagnosticada de cáncer de páncreas y diabetes asociada.
Conclusiones
En aquellos pacientes con diagnóstico reciente de diabetes, hay que plantearse la posibilidad de estar ante una diabetes secundaria. Los antecedentes familiares de enfermedades endocrinas y tumores, el diagnóstico reciente de diabetes, una edad superior a 50 años, el antecedente de sobrepeso y una importante pérdida de peso son factores a considerar para sospechar diabetes asociada a cáncer de páncreas.
Referencias Bibliográficas
1. Cui Y, Andersen DK. Diabetes and pancreatic cancer. Endocr Relat Cancer. 2012 Sep 5;19(5):F9?F26.
2. Sah RP, Nagpal SJ, Mukhopadhyay D, Chari ST. New insights into pancreatic cancer induced paraneoplastic diabetes. Nat Rev Gastroenterol Hepatol. 2013 Jul;10(7):423?33.
3. Hart PA et al. Weight loss precedes cancer specific symptoms in pancreatic cancer associated diabetes mellitus. Pancreas. 2011 Jul; 40(5):768?72.
4. Lee JH et al. New onset diabetes patients need pancreatic cancer screening? J Clin Gastroenterol. 2012 Aug; 46(7):e58-61.






