
Transmisión parenteral del Virus Linfotrópico T Humano Tipo 1: ¿es un factor de riesgo a considerar para el desarrollo de la leucemia a Células T del adulto?
En el mundo existen aproximadamente 20 millones de individuos infectados por el Virus Linfotrópico T Humano tipo 1 (HTLV-1), de los cuales 3 a 5% desarrollarán una de las patologías asociadas. La infección por HTLV- 1 tiende a encontrarse endémicamente focalizada en regiones geográficas bien definidas, como sucede en el Noroeste argentino.
Berini Carolina, investigadora de CONICET (1), Cánepa Camila, becaria doctoral CONICET (1), Ruggieri Matías, becario doctoral CONICET (1), Colucci
Magalí, hematóloga (2a), Halperin Nora, hematóloga (2a), Rojas Francisca, hematóloga (2a), Altube Alejandra, hematóloga (2a), Lorenzo Cabral
Cecilia, patóloga (2b), Deves Alberto, patólogo (2b), Hermine Olivier, hemátologo investigador del INSERM (3), Biglione Mirna, investigadora de
CONICET (1).
(1) INBIRS, UBA-CONICET. GRUPO HTLV. Paraguay 2155, Piso 11, C1121ABG, CABA, Argentina.
(2) Hospital de Clínica “José de San Martín”, a) Departamento de Hematología, b) Departamento de Patología. Av. Córdoba 2351, C1120AAF
CABA, Argentina.
(3) Department of Hematology. INSERM U1163 and CNRS ERL8654, Imagine Institute, Necker Hospital, Assistance publique des hôpitaux de Paris.
Paris Descartes University, 75473 Paris Cedex 15
Correspondencia: Dra. Mirna Biglione. mbiglione@fmed.uba.ar. Paraguay 2155. Piso 11. CABA C1121ABG. Tel.: +54-11 4508-3689 (ext. 125);
Fax: +54-11-4508-3705.
Resumen
En el mundo existen aproximadamente 20 millones de individuos infectados por el Virus Linfotrópico T Humano tipo 1 (HTLV-1), de los cuales 3 a 5% desarrollarán una de las patologías asociadas. La infección por HTLV- 1 tiende a encontrarse endémicamente focalizada en regiones geográficas bien definidas, como sucede en el Noroeste argentino. El HTLV-1, que se trasmite verticalmente de madre a hijo, horizontalmente por contacto sexual y por vía parenteral, es el causante de la Leucemia/Linfoma a Células T del Adulto (ATLL) y la mielopatía asociada al HTLV-1/ paraparesia espástica tropical (HAM/TSP). La ATLL es una enfermedad linfoproliferativa agresiva que se desarrolla mayoritariamente cuando la infección se adquirió por lactancia prolongada. En áreas de baja prevalencia generalmente se desarrolla en inmigrantes, descendientes o parejas sexuales de individuos provenientes de áreas endémicas. A diferencia de lo que sucede con la HAM/TSP, muy pocos casos han sido diagnosticados 1 a 3 años post-transfusión sanguínea o por trasplante de órganos. La ATLL se clasifica en aguda, crónica, linfoma y latente. Arribar a un diagnóstico rápido y certero del subtipo de ATLL es un desafío que impacta directamente en la supervivencia del individuo. Presentamos un caso de una ATLL crónica que se desarrolló 18 años después de recibir una transfusión sanguínea al nacer en la ciudad no endémica para HTLV-1 de Buenos Aires.
Palabras clave: ATLL, Cónica,HTLV-1, transfusión, latencia
Parenteral transmision of Human T Cell Lymphotropic Virus Type 1: Is it a risk factor to consider for developing adult T-Cell leukemia?
Abstract
Approximately, 10-20 million individuals are infected by Human T-cell Lymphotropic virus type 1 (HTLV-1) worldwide of whom 3-5% will develop an associated pathology. Areas of extremely high HTLV-1 prevalence as the Northwest region of Argentina are surrounded by areas of middle or very low prevalence. HTLV-1 is transmitted parenterally, sexually and vertically and causes ATLL and HTLV-1 Associated Myelopathy/ Tropical Spastic Paraparesis (HTM/TSP). ATLL is an aggressive lymphoproliferative malignancy of peripheral T cells that develops in the majority of cases in individuals who were infected with HTLV-1 by their mothers due to prolonged breastfeeding. In non-endemic areas, ATLL is usually limited to immigrants from endemic regions. ATLL is classified as acute, chronic, lymphoma and smoldering. In opposition to HAM/TSP, very few cases of ATLL have been diagnosed in recipient patients few years afte r an organ transplantation or blood transfusion. Achieving an accurate and fast diagnosis of ATLL can be challenging and impacts directly in their life expectancy. We present a case of a delayed onset of a chronic ATLL in an 18-years-old male that was transfused with blood components as a premature newborn in Buenos Aires, a non-endemic city for HTLV-1.
Keywords: ATLL; Chronic, HTLV-1; Blood transfusion; Latency
Introducción
El Virus Linfotrópico T Humano tipo 1 (HTLV-1) es el agente etiológico de la Leucemia/Linfoma a Células T del Adulto (ATLL) y la Mielopatía asociada al HTLV-1 o Paraparesia Espástica Tropical (HAM/TSP). En el mundo existen aproximadamente 20 millones de individuos infectados, de los cuales 3 a 5% desarrollarán una de las dos patologías asociadas. El HTLV-1 se trasmite por vía sexual, parenteral y vertical (preferentemente por lactancia prolongada). La transmisión de HTLV-1 por transfusión sanguínea ocurre con mayor eficiencia si se transfunden componentes celulares (glóbulos rojos, plaquetas) o sangre entera y la mediana de tiempo de seroconversión luego de una transfusiónse estima en 51 días con una tasa de 15-60%. (1, 2). La infección por HTLV-1 y sus patologías asociadas tienden a encontrarse endémicamente focalizada en regiones geográficas con áreas de microendemia bien definidas, como sucede en región del Noroeste argentino donde se observan prevalencias de hasta el 3%. En el resto del país la infección presenta muy baja prevalencia, y las enfermedades asociadas generalmente se desarrollan en inmigrantes, descendientes o parejas sexuales de individuos de países endémicos (Perú, Bolivia, Colombia) (3). La ATLL es un desorden linfoproliferativo de células T (LT) activadas muy agresivo cuyo criterio diagnóstico debe considerar características clínicas y resultados de laboratorio, tales como la morfología de linfocitos (“células en flor”) en frotis de sangre periférica, el inmunofenotipo, la histología de los tejidos afectados en los casos de linfoma; estudios serológicos para detección de anticuerpos anti-HTLV-1 en plasma/suero y estudios moleculares que permitan detectar el genoma viral en los cortes histológicos. El diagnóstico diferencial de la ATLL incluye otras leucemias a células T, tales como la leucemia promielocítica a células T, el síndrome de Sézary, linfomas a células T periféricos o la enfermedad de Hodgkin. La ATLL es una enfermedad heterogénea que clínicamente se clasifica en cuatro subtipos – aguda, linfoma, crónica y latente – de acuerdo con manifestaciones leucémicas en la sangre, la implicación de órganos, los niveles de lactato deshidrogenasa (LDH) y de calcio en suero y con manifestaciones cutáneas que pueden o no estar presentes (4). La forma más común de presentación es la aguda con características clínicas semejantes a otras leucemias agudas que se caracteriza por la presencia de células leucémicas y organomegalia, con o sin lesiones óseas líticas. Son patognomónicos los linfocitos pleomórficos con núcleos hipersegmentados en forma de trébol en sangre periférica y la hipercalcemia. La crónica se caracteriza por linfocitosis, que puede ser estable por meses o años, manifestaciones en piel, ausencia de organomegalia a excepción de los ganglios. Aunque la crónica progresa más lentamente y es menos agresiva, puede clasificarse en dos subtipos, uno de los cuales, el desfavorable, es más agresivo y presenta valores alterados de calcio, lactato deshidrogenasa (LDH), albúmina o nitrógeno de urea en suero (4). Los pacientes con ATLL latente no presentan linfocitosis y usualmente son asintomáticos o presentan manifestaciones leves en piel. En el linfoma hay organomegalia, hipercalcemia y altos niveles de LDH sin evidencia hematológica (linfocitosis). La mayoría de los casos se han reportado en la vida adulta después de una larga latencia y debido a lactancia prolongada por madres infectadas. Muy pocos casos de ATLL aguda o linfoma han sido reportados en el mundo debido a transfusión sanguínea o trasplante de órganos (5, 6). Y recientemente, se ha descripto el primer caso de ATLL debido a transmisión sexual (7). La tasa de supervivencia depende de cada subtipo, variando entre 4 a 6 meses para la aguda y de 34 meses a más de 5 años para los otros tipos. La terapia antiviral es el tratamiento estándar en Europa y USA para pacientes con ATLL, excepto para el linfoma (8). Se reporta el caso de un joven adulto argentino con residencia en Buenos Aires que desarrolló una ATLL crónica favorable a la edad de 18 años debido a transmisión parenteral de HTLV-1, al recibir transfusión sanguínea en el primer mes de vida en una ciudad no endémica de Argentina para esta infección.
Caso Clínico
Joven de 18 años que concurrió por primera vez a un servicio de dermatología de un hospital público de Buenos Aires (04/2015), por edema periorbital y lesiones nodulares de consistencia suave, no adheridas a planos profundos e indoloras en el lado derecho de la cara. El paciente refirió sensación de molestia durante 6 meses previos a la consulta a la cual concurrió por motivos estéticos (Figura 1A). No presentaba otro signo o síntoma. El hemograma reveló neutrofilia y se sospechó enfermedad reumática. Se solicitaron análisis y tres meses después (07/2015) se observó linfocitosis (14,000 linfocitos/mm3) lo que implicó que el paciente fuera derivado a la unidad de hematología donde se descartó infección por HIV-1 y otras inmunodeficiencias. Nuevos exámenes determinaron presencia de linfocitos T (LT) anormales con fenotipo: CD3+, CD4+, CD8, TCRαβ+, CD25+, CD28+, CD2+, CD7-, HLA DR+D por citometría de flujo compatible con linfoma Non Hodgking’s (LNH). Dos meses más tarde, una biopsia cutánea mostró infiltración de LT con inmunofenotipo compatible con linfoma T periférico (médula ósea compatible) (Figura 2), diagnóstico que fue descartado ante una mayor linfocitosis y un resultado positivo para la infección por HTLV-1 mediante aglutinación de partículas (Serodia HTLV- 1, FujirebioInc) y confirmación por Western Blot (MP Diagnóstico HTLV BLOT 2.4, Singapur). La carga proviral de HTLV-1 a partir de sangre periférica (9,8 copias/100 células) y de biopsia de piel (7,6 copias/100 células) por PCR cuantitativa en tiempo real y un 5% de células en “flor” confirmaron el diagnóstico de ATLL descartando el tipo linfoma (Figura 3). El paciente reportó no haber tenido contactos sexuales por lo cual se sospechó transmisión vertical para HTLV-1. Sin embargo, la madre resultó ser negativa para la infección, tanto serológica como molecularmente por nested-PCR. Luego de una exhaustiva encuesta al paciente y a la madre en varias ocasiones por diferentes profesionales se identificó la vía de transmisión. El paciente había nacido y residido siempre en la ciudad de Buenos Aires, no reportaba haber tenido pareja sexual, pero había nacido prematuro y con enfermedad hialina severa por la cual recibió 2 transfusiones en 1997, único antecedente de riesgo para la infección por HTLV-1, si se considera que la obligatoriedad de detección de HTLV-1/2 en bancos de sangre rige desde 2005.
Figura 1: Fotografía del paciente donde se observan los nódulos y edema peri-orbitario derecho (A) e izquierdo (B).
Figura 2: Frotis de sangre periférica donde se observan linfocitos típicos anormales con citoplasma agranular débilmente basófilo y núcleo lobulado, denominados “células en flor” característicos de la ATLL aguda y crónica (May-Grünwald Giemsa staining, 100X).
A los 40 días (09/2015) el paciente presentaba aumento de tamaño de sus lesiones y otras nuevas en antebrazos y lado izquierdo de la cara (Figura 1 B). La ausencia de síntomas sistémicos, de imágenes anormales en la tomografía con niveles de calcio y LDH normales confirmaba una ATLL crónica favorable con manifestaciones cutáneas. Se inició terapia combinada de zidovudina/Interferón-alfa pegilado. A la siguiente consulta (12/2015), se observó un ligero descenso de la linfocitosis sin otra anormalidad y se mantenía el resto de los valores normales. Hasta la fecha, el paciente evoluciona favorablemente con la misma terapia. Se obtuvo el consentimiento firmado del paciente y su madre para este reporte.
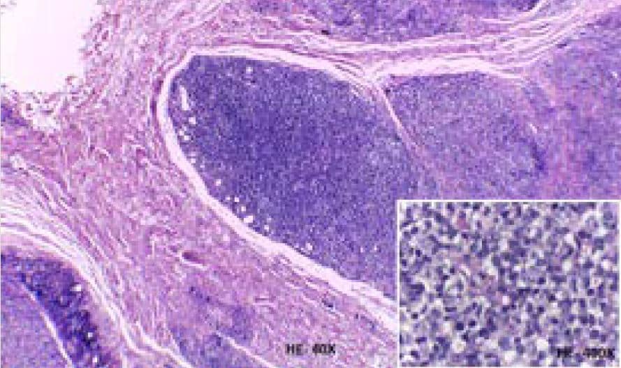
Figura 3: Histopatología de nódulo de piel de antebrazo izquierdo donde se observa tejido subepitelial infiltrado por una población predominante de
células linfoides T de tamaño variable con núcleos poligonales.
Discusión
La relevancia de este caso se basa en el desarrollo de una ATLL en un paciente de 18 años post transfusión sanguínea, lo cual confirma que este tipo de leucemia se puede desarrollar por vía parenteral si bien es un evento raro. Por otro lado, demuestra que la ATLL puede presentarse como crónica favorable con manifestaciones cutáneas varios años después de la transfusión, aunque con una latencia menor a la desarrollada por vía vertical. El diagnóstico rápido y preciso de la ATLL es un gran desafío debido a la dificultad en la clasificación de los diferentes tipos, además de necesitar de la sospecha del HTLV-1 en regiones no endémicas. Aunque el testeo de anticuerpos anti- HTLV-1/2 en donantes de sangre fue recomendado en 1997 por la Asociación Argentina de Hemoterapia e Inmunohematología, recién devino obligatorio en el año 2005 (resolución 865/2006 del Ministerio de Salud y Ambiente). Este caso destaca la importancia de considerar la posibilidad de transmisión de este retrovirus por transfusión en relación a las políticas transfusionales de cada país. Desde 1986, muchos países, desarrollados o en desarrollo, han implementado protocolos para la detección de HTLV-1/2 por tamizaje en donantes de sangre. Sin embargo en algunos de ellos donde, tanto la mielopatía (HAM/ TSP) como la Leucemia y Linfoma asociado al HTLV-1 han sido descriptos, aún no es mandatorio el testeo para HTLV-1/2 en donantes de sangre y solo existe la recomendación (9). Un hecho llamativo ocurrió en el 2013, cuando se reportó en Alemania -país con cifras de prevalencia de HTLV-1/2 muy bajas- la transmisión de HTLV-1 a 3 pacientes que recibieron órganos de un donante multiorgánico, de los cuales dos fueron diagnosticados posteriormente con linfoma cutáneo a células T (6). Estos antecedentes confirman la importancia de la implementación del diagnóstico obligatorio en donantes de órganos sólidos y sangre, independientemente de la tasa de prevalencia, ya que las enfermedades asociadas al HTLV-1 se desarrollan más rápido cuando la transmisión del virus es parenteral, son severas y pueden ser fatales a corto plazo. Por otro lado, el abordaje de un paciente con ATLL por un equipo multidisciplinario es determinante para poder brindar un tratamiento adecuado en el menor tiempo posible lo cual impacta significativamente en la expectativa de vida del individuo. Debemos recordar, que particularmente en este tipo de ATLL (a excepción del linfoma) la quimioterapia no está indicada y puede tener un desenlace peor que la espera sin tratamiento. Por el contrario, la combinación de AZT/interferón induce una alta tasa de respuesta favorable sostenida en el tiempo (8).
Referencia Bibliográficas
1.Gessain A, Cassar O. Epidemiological Aspects and World Distribution of HTLV-1 Infection. Front Microbiol. 2012; 3:388.
2.Gout O, Baulac M, Gessain A, et al. Rapid development of myelopathy after HTLV-I infection acquired by transfusion during cardiac transplantation. Engl J Med. 1990; 322(6):383–8.
3.Biglione M, Berini B. Aportes y consideraciones sobre la infección por los Virus Linfotrópicos- T Humanos Tipo 1 y 2 (HTLV-1/2) en Argentina. Actualizaciones en SIDA e Infectología. Buenos Aires, 2013; 21(81): 84-94.
4.Matutes E. Adult T-cell leukaemia/lymphoma. Journal of Clinical Pathology 2007; 60(12):1373–1377.
5.Pombo-de-Oliveira MS, Carvalho SM, Borducchi D, et al. Adult T-cell leukemia/lymphoma and cluster of HTLV-I associated diseases in Brazilian settings. Leuk Lymphoma 2001; 42(1-2):135-44.
6.Glowacka, I., et al. Delayed seroconversion and rapid onset of lymphoproliferative disease after transmission of human T-cell lymphotropic virus type 1 from a multiorgan donor. Clin Infect Dis 2013; 57(10): 1417-24.
7.Sibon D, Cassar O, Duga I, et al. Adult T-Cell Leukemia/Lymphoma in a Caucasian Patient After Sexual Transmission of Human T-Cell Lymphotropic Virus Type 1. Open Forum Infect Dis 2015; 6;2(2):ofv032.
8.Ishitsuka K, Tamura K. Treatment of adult T-cell leukemia/lymphoma: past, present, and future. European Journal of Haematology 2008; 80(3):185-196.
9.Hoosain Paruka and Ahmed Bhigjeea. Health policy implications of blood transfusion- related human T-cell lymphotropic virus type 1 infection and disease. South Afr J Infect Dis 2015; 1(1):1-2.




