
Pancreatitis autoinmune tipo 1: reporte de caso. REPORTE DE CASO
La pancreatitis autoinmune tipo 1 es una enfermedad de baja prevalencia siendo más frecuente en varones, se encuentra incluida dentro de las enfermedades relacionadas a IgG4. Esta patología puede debutar como un síndrome colestásico y el diagnóstico se realiza según los criterios del consenso internacional para pancreatitis autoinmune (ICDC) que incluye una imagen típica, serología, compromiso de otros órganos, histología y respuesta al tratamiento con corticoides.
Rev. gastroenterol. Perú vol.37 no.3 Lima jul./sep. 2017
Álvaro Bellido-Caparó1, Jorge Espinoza-Ríos1, Víctor Aguilar1, Carlos García1, José Luis Pinto1,2, Martin Tagle Arróspide2,3, Alejandro Bussalleu Rivera2
1 Servicio de Gastroenterología, Hospital Cayetano Heredia. Lima, Perú.
2 Facultad de Medicina, Universidad Peruana Cayetano Heredia. Lima, Perú.
3 Servicio de Gastroenterología, Clínica Angloamericana. Lima, Perú.
Correspondencia: Álvaro Bellido Caparó
Av. Honorio Delgado 401, San Martín de Porres. Lima, Perú. E-mail: abellido86@gmail.com, alvaro.bellido.c@upch.pe
Juan Aliaga Nº 204 Lima 17 – Perú Telf.: 515-264 0015 Fax: 515-264 1400 revista_gastro@terra.com.pe
Resumen
La pancreatitis autoinmune tipo 1 es una enfermedad de baja prevalencia siendo más frecuente en varones, se encuentra incluida dentro de las enfermedades relacionadas a IgG4. Esta patología puede debutar como un síndrome colestásico y el diagnóstico se realiza según los criterios del consenso internacional para pancreatitis autoinmune (ICDC) que incluye una imagen típica, serología, compromiso de otros órganos, histología y respuesta al tratamiento con corticoides. Presentamos el caso de una mujer de 52 años con antecedente de artritis reumatoide sin tratamiento que acude con tiempo de enfermedad de 2 meses caracterizado por dolor abdominal en hipocondrio derecho de moderada intensidad asociado a ictericia, coluria, hipocolia, xeroftalmia, xerostomía y pérdida de peso de 3 kg. Al examen físico se evidencia ictericia, hipertrofia simétrica de glándulas submandibulares, leve dolor en epigastrio. En los exámenes auxiliares existe patrón colestásico con hiperbilirrubinemia a predominio directo. En los estudios de imágenes se evidencia colédoco dilatado, con aumento difuso del volumen del páncreas con captación tardía de contraste. En el estudio inmunológico se evidenció IgG4 en 610 u/L y ANA 1/640. Se inició tratamiento con corticoides con respuesta clínica y de laboratorio favorable. En conclusión, se debe sospechar de pancreatitis autoinmune ante un cuadro de dolor abdominal y colestasis extrahepática con imágenes sugestivas de páncreas inflamatorio, en el que se deben complementar los criterios ICDC para confirmar el diagnóstico.
Palabras clave: Pancreatitis; Colestasis; Inmunoglobulina G (fuente: DeCS BIREME).
Abstract
Autoimmune pancreatitis type 1 (AIP) is the pancreatic manifestation of IgG4-related disease. The most frequent presentation of AIP is with obstructive jaundice. For definite diagnosis of type 1 Autoimmune pancreatitis international consensus diagnosis criteria (ICDC) for AIP are used. ICDC criteria include pancreatic parenchymal imaging, ductal imaging, serology, other organ involvement, histology, and response to steroid. We report a 52-years-old woman with rheumatoid arthritis without treatment presented with two months of abdominal pain in up-right quadrant with moderate intensity. She also presented jaundice, acholia, xerophtalmia, xerostomia, and a weight loss of 5 pounds. On examination jaundice, symmetrically enlarged submandibular glands, and epigastric pain was observed. On laboratory, a cholestasis pattern and conjugated bilirubin predominance was found. CT Abdominal, CMR revealed a dilated common bile duct with a diffuse pancreatic enlargement with delayed enhancement. Immunological studies show a IgG4 610 u/l and ANA 1/640. The patient responds to steroid clinically and in the laboratorial values. In conclusion, autoimmune pancreatitis type 1 should be suspected in case of an obstructive jaundice with a pancreatic inflammatory image, and complete ICDC criteria for a definite diagnosis.
Keywords: Pancreatitis; Cholestasis; Immunoglobulin G (source: MeSH NLM).
Introducción
La pancreatitis autoinmune (PAI) fue descrita por Sarles et al. en 1961 (1) y en el año 1995 Yoshida propone el concepto de pancreatitis autoinmune (2). Se describen dos tipos, la PAI tipo 1 que es una enfermedad caracterizada clínicamente por la presencia de una ictericia obstructiva o una masa pancreática que histológicamente presenta un infiltrado linfoplasmocitario y con una muy buena respuesta al tratamiento con corticoides, es considerada como parte de una enfermedad asociada a IgG4; el otro tipo es la PAI tipo 2 o lesión granulocítica epitelial la que se caracteriza por infiltrados neutrofílicos (2).
La prevalencia de pancreatitis autoinmune tipo 1 en Japón es de 4,6 por 100000 habitantes (2). No hay reportes de la epidemiología en Latinoamérica sin embargo existen reportes de casos aislados (3,4). En el Perú existe un reporte de Barreda et al. realizado en 1989 y que puede corresponder a un cuadro de pancreatitis autoinmune con compromiso de otros órganos (5). Se recomienda realizar el diagnóstico de la PAI en base a los criterios diagnósticos del consenso internacional de PAi (CDCI) (Tabla 1 y 2) !1l, los que han demostrado ser más sensibles y específicos que otros criterios diagnósticos descritos (JSP 2006, J PS 201 1, HISORt) <6>. Se reporta el caso de una mujer, quien debuta con un síndrome ictérico obstructivo, que cumple los criterios diagnósticos de CDCI y que presenta una buena respuesta clínica y de laboratorio al tratamiento con corticoides.
Tabla 1. Diagnóstico definitivo y probable de PAI usado CDCI.
PAI: Pancreatitits autoinmune. Modificado a partir de Shimosegawa T et al. en Internacional Consensus Diagnostic Criteria for Autoinmne Pancreatitis(8).
Tabla 2. Criterios nivel 1 y nivel 2 para PAI tipo 1 con CDCI
PAI: Pancreatitits autoinmune. Modificado a partir de Shimosegawa T et al. en Internacional Consensus Diagnostic Criteria for Autoinmne Pancreatitis(8).
Caso Clínico
Paciente mujer de 52 años con antecedente de artritis reumatoide sin tratamiento, quien acude con tiempo de enfermedad de dos meses caracteriza do por dolor abdominal en hipocondrio derecho de moderada intensidad que se asocia a ictericia, coluria, hipocolia, xeroftalmia, xerostomía y pérdida de peso de 3 kg aproximadamente. Al examen físico se evidencia ictericia, hipertrofia si métrica de glándulas submandibulares y leve dolor a la palpación en epigastrio.
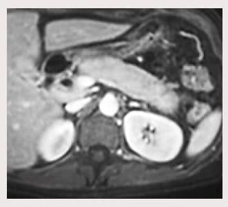
En los exámenes auxiliares que se muestran en la Tabla 3, se evidencia patrón colestásico con hiperbilirrubinemia a predominio directo. En el estudio con tomografía abdominal se observó colédoco dilatado en 1O mm, con aumento difuso del volumen del páncreas con captación tardía del contraste (Figura 1). En el estudio inmunológico se evidenció lgG4 en 610 u/L (VN: 1-200) y ANA 1/640 (Tabla 4). Se inició tratamiento con corticoide con respuesta favorable clínica y de laboratorio como se puede observar en la Tabla 3.
Figura 1. TAC abdominal con contraste; se evidencia un páncreas con agrandamiento de forma difusa con el diámetro a nivel de la cola de más de 2/3 el díametro transversal de la vértebra dorsal.
Tabla 3. Exámenes solicitados
Discusión
La pancreatitis autoinmune es u na enfermedad infrecuente, que debe ser considerada dentro del diagnóstico diferencial de la ictericia obstructiva, tiene mayor prevalencia en varones con una relación de 3 a 1 y la edad promedio del diagnóstico es 62 años (2).
El cuadro de ictericia obstructiva que presentó nuestra paciente se observa en 33 a 59% de los casos de PAi, pudiendo estar presente el dolor abdominal en 32% de los pacientes. Este dolor suele ser de intensidad leve o moderado y también se ha descrito que hasta un 1So/o de los pacientes pueden presentar pérdida de peso (2).
Tabla 4. Marcadores específicos solicitados
La xeroftalmia y la xerostomía presentes en el caso que reportamos, han sido descritas como compromiso de otros órganos asociados a lgG4 (sialoadenitis esclerosante y dacrioadenitis) las cuales están presentes en 14 a 39% de los pacientes con PAi; la característica de la sialoadenitis en un cuadro de PAi es que esta afecta principalmente a las glándulas submandibulares, a diferencia del síndrome de Sjogren que tiende a afectar más las glándulas parotídeas (7).
Respecto a los hallazgos en el laboratorio en los pacientes con PAi se describe que la elevación de bilirrubina total se observa entre 39 a 62% y la elevación de fosfatasa alcalina y gammaglutamiltranspeptidasa en 36 a 64% (2). Los valores de IgG4 se encuentran elevados en 68 a 92% de los casos, tienen una sensibilidad y especificidad de 80% y 98 respectivamente (2). Una elevación de más de dos veces el valor normal es considerada como un nivel 1 en los criterios CDCI y es altamente sugestiva de PAI (2,8). Se puede evidenciar un valor de ANA positivo hasta en un 40 a 64% de los pacientes (2).
La imagen característica de la PAI, que se considera como nivel 1 de los criterios de CDCI (8) es un agrandamiento difuso del páncreas con realce en la fase tardía en la TC o RM abdominal y que puede tener o no el signo del “reborde en cápsula” (2). El aumento de tamaño difuso del páncreas es definido según los criterios de Haga como un diámetro de cabeza de páncreas de más de un diámetro transversal de la vértebra dorsal (3 cm) o un diámetro del cuerpo y de la cola de más de 2/3 del diámetro de la vértebra transversal (2 cm) esto puede encontrarse en 33% de los pacientes (9). El signo del “reborde en cápsula” es un signo especifico de PAI y se relaciona con los cambios fibróticos peripancreáticos, que se puede observar hasta en 30% de los pacientes (1,9).
Se sugiere realizar el diagnóstico de PAI en base a los criterios de CDCI los que han demostrado una sensibilidad de 94% y una especificidad de 100% para PAI valores superiores comparado a los otros criterios diagnósticos propuestos (JSP 2006, JPS 2011, HISORt) (6). El uso adecuado de los criterios CDCI pueden evitar procedimientos innecesarios para el paciente como CPRE (colangiopancreatografía retrógrada endoscópica), ecoendoscopia y cirugía; la presencia de ictericia ha sido considerada como principal factor asociado a procedimientos innecesarios (10).
En nuestro paciente se realizó el diagnóstico con los criterios de CDCI con una imagen típica, un criterio serológico nivel 1, un criterio de compromiso de otros órganos nivel 2. Se inició el tratamiento con corticoides presentando una buena respuesta clínica y de laboratorio. La respuesta a corticoides en pacientes con PAI tipo 1 es de cerca el 99% de los casos, la dosis propuesta es prednisona 0,6 mg/kg/día (11). En el estudio multicéntrico de Hart et al. se observa que hasta 33% de los pacientes con tratamiento con corticoides presentan recurrencia de PAI, aunque el 77% presentan solo un episodio de recurrencia (12).
Nuestra paciente se encuentra recibiendo una dosis de mantenimiento de prednisona de 5 mg/día y hasta la redacción del presente documento (18 meses de seguimiento) no presenta recaída.
En conclusión, la pancreatitis tipo 1 es una enfermedad infrecuente que debe ser considerada en el diagnóstico diferencial del síndrome colestásico. Se deben utilizar los criterios CDCI para el diagnóstico y evitar procedimientos invasivos innecesarios.
Conflictos de intereses: Los autores declaran no tener conflicto de interés alguno.
Referencias Bibliográficas.
1. Kawa S. Current concepts and diagnosis of IgG4 – related pancreatitis (type -1). Semin Liver Dis. 2016;36(3):257-73.
2. Okazaki K, Kawa S, Kamisawa T, Ito T, Inui K, Irie H, et al. Amendment of the Japanese Consensus Guidelines for Autoinmune Pancreatitis, 2013 I. Concept and diagnosis of autoinmune pancreatitis. J Gastroenterol. 2014;49 (5):567-88.
3. Muñoz S, Mancilla C, Moyano L, Castillo C, Rossi R, Brahm J, et al. Pancreatitis autoinmune: experiencia clínica y revisión de la literatura. Rev Med Chile. 2010;138(3):295-302.
4. Donet JA, Czul F, Peña NA, Barkin JS. Type 1 autoimmune pancreatitis: Case scenario and review of the disease. Rev Gastroenterol Peru. 2016;36(3):252-5.
5. Barreda F, Contardo C, León A, Navarrete J, Figueroa R, Attanasio F. [Primary sclerosing cholangitis with Sjörgen´s syndrome, retroperitoneal fibrosis and chronic pancreatitis. Report of case]. Rev Gastroenterol Peru 1989;9(2):106-14.
6. Maruyama M, Watanabe T, Kanai K, Oguchi T, Muraki T, Hamano H, et al. International Consensus Diagnostic Criteria for Autoimmune Pancreatitis and Its Japanese Amendment have improved diagnostic ability over existing criteria. Gastroenterol Res Pract. 2013;2013:456965.
7. Kawa S, Okazaki K, Kamisawa T, Kubo K, Ohara H, Hasebe O, et al. Amendment of the Japanese Consensus Guidelines for Autoimmune Pancreatitis, 2013. II. Extrapancreatic lesions, differential diagnosis. J Gasatroenterol. 2014;49(5):765-84.
8. Shimosegawa T, Chari S, Frulloni L, Kamisawa T, Kawa S, Mino- Kenudson M, et al. International consensus diagnostic criteria for autoimmune pancreatitis: guidelines of the International Association of Pancreatology. Pancreas. 2011;40(3):352-8.
9. Okazaki K, Kawa S, Kamisawa T, Ito T, Inui K, Irie H, et al. Japanese clinical guidelines for autoinmune pancreatitis. Pancreas. 2009;38(8):849-66.
10. Beyer G, Ellenrieder V, Nesse A. Autoimmune Pancreatitis: Avoiding Unnecessary Procedures by Following International Consensus Guidelines. Digestion 2015;92:171-2.
11. Kamisawa T, Kasuichi O, Kawa S, Ito T, Inui K, Irie H, et al. Amendment of the Japanese consensus guidelines for Autoimmune Pancreatitis 2013 III. Treatment and prognosis of autoinmune pancreatitis. J Gastroenterol. 2014;49(6):961-70.
12. Hart PA, Kamisawa T, Brugge WR, Chung JB, Culver EL, Czakó L, et al. Long-term outcomes of autoinmune pancreatitis: a multicentre, international analysis. Gut. 2013;62(12):1771-6.







