
Diagnóstico de neoplasias hematológicas a partir del hemograma y la citomorfología: Casos Clínicos
El esquema de clasificación de las neoplasias hematológicasde acuerdo con la última revisión de la OMS, parte en primera instancia de las características morfológicas de linaje en el extendido de sangre periférica, las cuales complementan la información del hemograma automatizado. Requiere además el estudio de médula ósea (aspirado y/o biopsia), el inmunofenotipo, el cariotipo y el análisis molecular; todo ello para el seguimiento, pronóstico y tratamiento del paciente.
Rocío Pérez E.(1), Patricia E Jaramillo A.†
(1) Bacterióloga Hematóloga, MS Educación, Docente U de A.
†Bacterióloga Hematóloga MSc Microbiología Hematología, Docente U de A,
Clínica León XIII- IPS U de A.
Correspondencia: patelen17@gmail.com
Resumen
El esquema de clasificación de las neoplasias hematológicasde acuerdo con la última revisión de la OMS, parte en primera instancia de las características morfológicas de linaje en el extendido de sangre periférica, las cuales complementan la información del hemograma automatizado. Requiere además el estudio de médula ósea (aspirado y/o biopsia), el inmunofenotipo, el cariotipo y el análisis molecular; todo ello para el seguimiento, pronóstico y tratamiento del paciente. Con base en este esquema los hallazgos de los seis pacientes descritos permiten proponer los diagnósticos de las neoplasias que padecen, las cuales deben confirmarse en su mayoría con el inmunofenotipo por citometría de flujo y los estudios moleculares que correspondan.
Introducción
Para la clasificación de las neoplasias hematológicas, la OMS a partir del descubrimiento de una serie de lesiones genéticas que ayudan a predecir el comportamiento clínico y los resultados del tratamiento o pronóstico de las neoplasias hematológicas, incorporó datos genéticos y moleculares específicos en el esquema de clasificación; parte en primera instancia del linaje de la célula maligna: mieloide, linfoide, de células histiocíticas/ dendríticas y de células mastocíticas, y diferencia entidades, de acuerdo con la combinación de características morfológicas, inmunofenotípicas, genéticas y los síndromes clínicos.
Los casos que se presentan a continuación se analizan inicialmente con base en el hemoleucograma y los hallazgos morfológicos correspondientes en el extendido de sangre periférica (ESP), con esta información y la historia clínica del paciente se sugiere un diagnóstico probable, el cual es necesario confirmar con otras pruebas, como el aspirado de médula ósea, el inmunofenotipo por citometría de flujo, el cariotipo y el estudio molecular según el caso.
Presentación de Casos
Pacientes con edades entre los 23 años y 67 años, remitidos por sintomatología clínica a un nivel 3 de hospitalización. Los síntomas más frecuentes fueron fiebre, sudoración, pérdida de peso, algunos dolores óseos, asociados a disminución al menos de una línea celular hematopoyética. Todos los pacientes presentaron anemia, los procesos agudos trombocitopenia y el número de leucocitos fue variable.
Estudios Paraclínicos
El hemoleucograma es el examen paraclínico que remite al estudio hematológico del paciente, se realizó con tecnología de impedancia eléctrica, radiofrecuencia y citometría de flujo con un módulo de reticulocitos, el cual permite un diferencial amplio con parámetros reticulocitarios (Granulocitos inmaduros IG, plaqueta óptica y reticulada entre otros) y datos completos del eritrograma, leucograma y plaquetograma. Se realiza el recuento diferencial y la evaluación de la morfología a partir del ESP. La integración de estos datos permite sugerir un diagnóstico.
Evolución del Paciente
Todos los pacientes fueron intervenidos por médico hematólogo y se realizó, a los casos de novo, el aspirado de médula ósea, biopsia y citometría de flujo para diferenciación del linaje y estadio de maduración celular; esto no aplica en el caso del paciente posquimioterapia después de stímulo hematopoyético y en el caso del paciente con neoplasia mieloproliferativa en crisis blástica.
CASO 1
Paciente de 64 años, de sexo femenino, desde hace varios meses presenta pérdida progresiva de peso, diarrea crónica, palidez, adenopatías submaxilares bilaterales y hemoleucograma con leucocitosis, anemia y plaquetas normales, (Figura 1).

Los hallazgos del extendido de sangre periférica se muestran en las siguientes imágenes (Figura 2 ver a la derecha). El 80% de las células del recuento diferencial, son blastos de tamaño pequeño a mediano, con escaso citoplasma y nucléolos evidentes. El diagnóstico probable es una leucemia/linfoma linfoide aguda que debe clasificarse por inmunofenotipo.

CASO 2
Paciente femenino de 23 años, con episodios de mareos y debilidad hace un mes, palidez generalizada y pérdida de peso. En el hemograma se observa leucocitosis marcada, anemia y trombocitopenia, severas, (Figura 3). Las imágenes de la Figura 4 (ver a la derecha), apoyan el diagnóstico.


El ESP muestra una gran leucocitosis a expensas de blastos heterogéneos de escaso citoplasma, nucleolos evidentes y presencia de vacuolas citoplasmáticas, en la morfología eritroide se evidencia la anemia marcada y confirma la trombocitopenia. Este caso, se clasifica morfológicamente como una leucemia linfoide aguda, linaje a definir con inmunofenotipo
por citometría de flujo.
CASO 3
Paciente masculino de 67 años, en malas condiciones generales, palidez, debilidad, dolores musculares, en crisis blástica secundaria a neoplasia mieloproliferativa (NMP), presenta leucocitosis con anemia y trombocitopenia, (Figura 5).

En el extendido de sangre periférica se observaron los siguientes hallazgos: (Figura 6 ver a a derecha).

En el ESP periférica se encuentra más del 60% de blastos con características morfológicas mielomonocíticas (Figura 3). El diagnóstico probable es el de leucemia aguda mielomonocítica, para confirmar por inmunofenotipo y citogenética.
PACIENTE 4
Paciente masculino de 49 años, evolución de 20 días con cuadro febril intermitente, astenia, adinamia, malestar general y cefalea leve, disminución de la agudeza visual, con leucocitosis, anemia y trombocitopenia (Figura 7).

Al ESP se observa un 80% de blastos morfológicamentecompatibles con células tipo Burkitt (Figura 8).

El diagnóstico probable es el de linfoma de Burkitt en fase leucémica para confirmar por inmunofenotipo y citogenética.
CASO 5
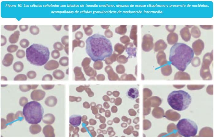
Paciente masculino de 48 años, con diagnóstico previo de leucemia linfoide aguda en tratamiento, el hemograma corresponde a un control después de iniciar terapia con factor estimulante de colonias, (Figura 9).

Los resultados muestran pancitopenia con marcada leucopenia y trombocitopenia. En el ESP se observan las células en la Figura 1O. El diferencial manual reporta un 15% de blastos y un 50% de células entre promielocitos, metamielocitos y mielocitos que son de esperar por el tratamiento que recibe el paciente. Asimismo se debe correlacionar con inmunofenotipo por citometría de flujo para descartar enfermedad mínima residual por el aumento de blastos.

El diagnóstico probable es un paciente en respuesta medular con presencia de blastos que se deben clasificar por imnunofenotipo.
CASO 6
Paciente masculino 43 años con diagnóstico de leucemia mieloide crónica Philadelfia positivo en segunda fase crónica, después de una crisis blástica mieloide, en tratamiento, (Figura 11).

Al ESP se encuentra más de un 20% de blastos mieloperoxidasa positivos, acompañados de células granulocíticas de maduración intermedia, (Figura 12).

Con base en la historia clínica y en los hallazgos, el paciente evoluciona a una fase blastica de la leucemia mieloide crónica.
Coloración de Mieloperoxidasa positiva para los blastos.
Discusión
Con las nuevas tecnologías, la interpretación del hemograma y el uso de diferentes dispersogramas e histogramas, se hace un adelanto en la clasificación de muchas neoplasias hematológicas, incluso sin observar el extendido de sangre periférica. Los dispersogramas con tecnología laser permiten reconocer las diferentes poblaciones celulares según su componente citoplasmático, gránulos, inclusiones y la complejidad de maduración de la cromatina (1), como se observa en los dispersogramas de los casos 1,2 y 4 donde el compromiso celular es linfoide, la ubicación de la población es hacia la izquierda y dependiendo del tamaño de las células y la madurez de la cromatina, se desplazan hacia la parte superior las más inmaduras y de mayor tamaño.
En pacientes con neoplasias de células grandes e irregulares como en linfomas esta dispersión pasa al área de los monocitos, como en el caso 4 que son células grandes y vacuoladas de un linfoma de Burkitt en fase leucémica (1).
En estos casos el dispersograma del IMI (inmaduras mieloides) con una tecnología que detecta sólo las células con componente granular, que son evaluadas por radiofrecuencia y corriente directa, se detectan desde blastos hasta bandas, por medio de un reactivo que lisa las células no granulocíticas (2,3) en los casos de compromiso linfoide no se presenta población en el IMI, solo en los que hay pocas células acompañantes de maduración intermedia granulocítica, como ocurre en el caso 2.
Contrario a lo que ocurre en los casos 3 y 6 donde se encuentra un compromiso mieloide marcado, la mayor población en el dispersograma DIFF (diferencial por citometría de flujo), es de granulocitos (4,5) y dependiendo de la línea celular comprometida, puede presentarse una población intermedia que es la monocítica, como en el caso 3, el cual presenta un compromiso mielomonocítico. Se puede observar en el IMI una población mieloide inmadura con una posición de baja dispersión, que corresponde a los blastos, esto se evidencia en el caso 4 o como ocurre en el caso 6 que presenta abundante dispersión, indicado qué células tienen más maduración y mayor contenido de gránulos.
La correlación con los recuentos celulares y la presentación de los dispersogramas e histogramas debe tenerse en cuenta para una buena interpretación de los conteos celulares (3). En el caso 5, se presenta un paciente posquimioterapia, se observa leucopenia en la dispersión, pero esas pocas células blásticas están representadas en el IMI. Lo mismo ocurre en los recuentos de plaquetas, al correlacionarlos con los histogramas en los casos de trombocitopenia que se observa una curva de baja celularidad e irregular por los tamaños plaquetarios, como ocurre en las neoplasias hematológicas (6), viéndose muy marcado en el caso 3.
La trombocitopenia es indicativa de disminución en la producción medular, generalmente de procesos agudos, como se observa en los casos 2, 3, 4 y 5 exceptuando el caso 1 en el que hay un conteo normal de plaquetas pero una presentación del número de blastos muy alta, siendo no típica. En los procesos mieloproliferativos en fase típica se presentan conteos normales o aumentados, en el caso 6, el paciente presenta una fase acelerada con presencia de blastos y trombocitopenia, siendo muy importante la historia clínica del paciente para su clasificación. Los criterios de la OMS para la clasificación de las neoplasias linfoides, reconoce tres categorías mayores de linaje linfoide: neoplasias de células B, neoplasias de células T y células NK, se asume que tanto los linfomas como las leucemias linfoides son la misma entidad pero con diferente presentación clínica, ya que ambas fases, sólida y circulante, están presentes en muchas neoplasias de este linaje y la distinción entre éstas es difícil, teniéndose que recurrir al inmunofenotipo para definir la maduracion y el linaje (7,9), de estos criterios depende la clasificación del caso 1 y 2. En el grupo de las neoplasias de células maduras se incluye el linfoma e Burkitt, cuya fase leucémica se denomina leucemia de Burkitt y se caracteriza por las células con cromatina de apariencia inmadura, abundantes vacuolas citoplasmáticas, de tamaño y forma irregular; descritas en el caso 4; la OMS la clasifica como una neoplasia de células maduras y no de precursores linfoides, debido a la pérdida de anticuerpos monoclonales de inmadurez en estas células (9,10).
Igualmente en la clasificación de linaje mieloide la diferenciación morfológica no es suficiente siendo de gran importancia el dispersograma del IMI donde se ubicaría la población neoplásica, según la OMS el número de blastos que se requiere para definir el diagnóstico de LMA es >20% pero en ciertos casos donde el número es menor, el diagnóstico puede ser establecido por anormalidades citogenéticas recurrentes como en el caso 3 en el que se observan células con morfología monocítica que indican la confirmación por citogenética de la t(11q;23) (7,10,11).
Del mismo modo en la Enfermedad Mieloproliferativa Crónica BCR-ABL1 positiva, predomina la línea granulocítica y su evolución puede darse en tres fases: crónica o típica, acelerada y blástica. Correlacionando los criterios de OMS, el caso 6 corresponde a un paciente con historia clínica de neoplasia mieloproliferativa Ph positivo y el aumento de blastos en sangre periférica, indica una fase acelerada de una LMC (11).
Conclusiones
La OMS en su última revisión reafirma la importancia de una buena evaluación del hemograma automatizado y valora el estudio de las características morfológicas en el ESP como un gran aporte al clínico, el cual en ocasiones define el diagnóstico. Importante tener en cuenta que para proporcionar conclusiones adecuadas se requiere conocer en qué momento clínico llega el paciente. Según la clasificación de la OMS el informe de sangre periférica debe complementarse con el estudiode médula ósea (aspirado y/o biopsia), el inmunofenotipo, el cariotipo y el análisis molecular; todo ello para optimizar el seguimiento, pronóstico y tratamiento del paciente.
Referencias Bibliográficas
1. Tatsumi T. Analizadores hematologicos automatiza- dos XE-2100. In: Kubota H, editor. Sysmex. Osaka Ja- pon: Sysmex Latinoamenrica; 1999. p. 3-51
2. Fujimoto H, Sakata T, Hamaguchi Y, Shiga S, Toh- yama K, Ichiyama S, et al. Flow cytometric method for enumeration and classification of reactive im- mature granulocyte populations. Cytometry. 2000 Dec;42(6):371-8. Pub- Med PMID: 11135291. eng.
3. Fernandes B, Hamaguchi Y. Automated enumeration of immature granulocytes. Am J Clin Pathol. 2007 Sep;128(3):454-63. PubMed PMID: 17709320. eng.
4. McClure S, Bates JE, Harrison R, Gilmer PR, Bessman JD. The “diff-if”. Use of microcomputer analysis to triage blood specimens for microscopic examination. Am J Clin Pathol. 1988 Aug;90(2):163-8. PubMed PMID: 3293420. eng.
5. Briggs C, Kunka S, Fujimoto H, Hamaguchi Y, Davis BH, Machin SJ. Evaluation of immature granulocyte counts by the XE-IG master: upgraded software for the XE-2100 automated hematology analyzer. Lab Hematol. 2003;9(3):117- 24. PubMed PMID: 14521317.eng.
6. Ratomski K, Zak J, Kasprzycka E, Hryniewicz K, Wysocka J. [The estimation of the number of platelets by different methods]. Pol Merkur Le- karski. 2010 May;28(167):379-86. PubMed PMID: 20568402. pol.
7. Swerdlow SC, E. Harris, N. Jaffe, E. Pileri, S. Stein, H. Thiele, J. Vardiman, J. WHO classification of tumours of haematopoietic and lymphoid tissues. 4th ed. Bos- man FJ, E. Lakhani, S. Ohgaki, H., editor. Lyon: International agency for Research on cancer; 2008. 439 p.
8. McGregor S, McNeer J, Gurbuxani S. Beyond the 2008 World Health Organization classification: the role of the hematopathology laboratory in the diag- nosis and management of acute lymphoblastic leu- kemia. Semin Diagn Pathol. 2012 Feb;29(1):2-11. Pub- Med PMID: 22372201. eng.
9. Craig FE, Foon KA. Flow cytometric immunophenotyping for hematologic neoplasms. Blood. 2008 Apr;111(8):3941-67. PubMed PMID: 18198345. eng.
10. Jaffe E, Arber D. Hematopathology. Philadelphia: Elsevier; 2011.
11. d HE. hematopathology. Churchill living stone ed. R. GJ, editor. Philadelphia: ELSEVIER; 2007. 64 p.






