
Carcinoma neuroendocrino de esófago: reporte de caso
Según el GloboCan, para el año 2012 se estimó que un total de 455800 de personas fueron diagnosticadas con cáncer de esófago a nivel mundial, de los cuales el 90% de los casos fueron carcinomas de células escamosas(1). La incidencia de esta enfermedad varía según la ubicación geografía del país; siendo más frecuente en el sur y este de África y Asia(2). Su supervivencia los 5 años es entre el 15 – 25%. Por lo tanto, es considerado uno de los más agresivos del tracto digestivo(3).
Yomaira Mendoza-Hayashida1, Harold Benites-Goñi2, Alonso Soto1,3
1 Escuela de Medicina, Universidad Peruana de Ciencias Aplicadas. Lima, Perú.
2 Servicio de Gastroenterología y Hepatología, Hospital Edgardo Rebagliati Martins. Lima, Perú.
3 Departamento de Medicina Interna, Hospital Nacional Hipólito Unanue. Lima, Perú.
Revista de Gastroenterología del Perú versión impresa ISSN 1022-5129 Rev. gastroenterol. Perú vol.38 no.3 Lima jul./set. 2018
Correspondencia: Yomaira Mendoza Hayashida Dirección: Avenida Alameda San Marcos cuadra 2, Chorrillos. Teléfono: 942751335 yomaira.mh@gmail.com
Juan Aliaga Nº 204
Lima 17 – Perú
Telf.: 515-264 0015
Fax: 515-264 1400
revista_gastro@terra.com.pe
Resumen
El carcinoma neuroendocrino de esófago representa menos del 2% de casos de cáncer de esófago. Esta forma de presentación es extremadamente inusual, ya que este tipo de carcinoma se suele presentar con mayor frecuencia en zonas broncopulmonares. Los síntomas suelen asociarse a la obstrucción esofágica e incluyen odinofagia, disfagia y pérdida de peso, siendo infrecuente la clínica de síndrome carcinoide. Para el diagnóstico se requiere de uno o más de los siguientes marcadores de inmunohistoquímica positivos: cromogranina A, sinaptofisina o CD56 positivos, así como la presencia de los anticuerpos EMA y PANCK positivos. Se reporta el caso de un paciente varón con diagnóstico de tumor neuroendocrino de esófago.
Palabras clave: Cáncer de esófago, Carcinoma neuroendocrino, Esófago (fuente: DeCS BIREME).
Abstract
Neuroendocrine carcinoma of esophagus represents less than 2% of cases of cancer of the esophagus. This presentation is extremely unusual, as this type of carcinoma typically presents with greater frequency in bronchopulmonary regions. The symptoms are usually associated with esophageal obstruction and include odynophagia, dysphagia and weight loss and are not usually associated with Carcinoid syndrome. The diagnosis requires one or more of the following positive immunohistochemical markers: Chromogranin A, synaptophysin or CD56 positive, as well as the presence of EMA and PANCK positive. We report the case of a male patient with diagnosis of neuroendocrine tumor of esophagus.
Keywords: Esophageal neoplasms, Carcinoma, neuroendocrine, Esophagus (source: MeSH NLM).
Introducción
Según el GloboCan, para el año 2012 se estimó que un total de 455800 de personas fueron diagnosticadas con cáncer de esófago a nivel mundial, de los cuales el 90% de los casos fueron carcinomas de células escamosas(1). La incidencia de esta enfermedad varía según la ubicación geografía del país; siendo más frecuente en el sur y este de África y Asia(2). Su supervivencia los 5 años es entre el 15 – 25%. Por lo tanto, es considerado uno de los más agresivos del tracto digestivo(3).
En el Perú, para el año 2012, el GloboCan estimó una incidencia del 0,8% de esta enfermedad(4). En el INEN, para el año 2014, del total de casos diagnosticados con cáncer, el 0,7% eran de esófago(5). Según Pérez et al., el predominante histológico en nuestro país es epidermoide. También, la disfagia, vomito, la llenura precoz y la pérdida de peso son los signos y síntomas más comunes en la población peruana(6).
En general, las neoplasias neuroendocrinas que se desarrollan externamente al sistema respiratorio son de presentación muy rara, aun mas si es de presentación gastrointestinal (5). Se estima que menos del 1% de casos de cáncer al esófago son de este tipo histológico(7). Debido a la rareza y a la dificultad para realizar un diagnóstico preciso de este tipo de cáncer (se necesitan pruebas de imnohistoquÍmica para un diagnóstico certero), se presenta el caso clínico de un paciente con esta rara enfermedad.
Caso Clínico
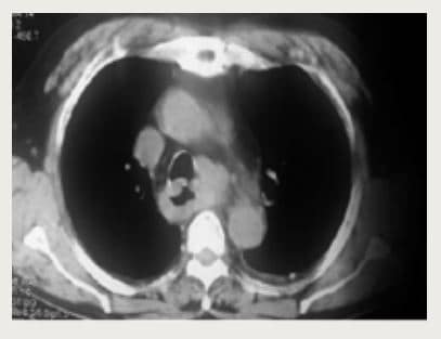
Paciente varón de 75 años de edad, natural y procedente de Lima, con antecedentes de osteoporosis y osteoartritis. Inicia los síntomas 18 meses antes del ingreso, de manera insidiosa y progresiva con disfagia a sólidos, odinofagia y náuseas intermitentes. Cinco meses antes del ingreso, el paciente manifestó que los síntomas disminuyeron; sin embargo, tres meses antes presenta repetidos episodios de melena. Además, dos meses antes presentó una pérdida de peso progresiva de aproximadamente 13 kg. Un mes antes del ingreso se agrega tos con expectoración sanguinolenta y epigastralgia, motivo por el cual decide acudir a consulta externa del hospital EsSalud Angamos, donde se le solicita una tomografía de tórax con contraste (Figura 1). Asimismo, se le realizó una endoscopía que informa mucosa del tercio proximal con lesión irregular, proliferativa, que obstruye la luz, erosionada y friable. No se pudo tomar biopsia, pero se piensa en un posible diagnóstico de neoplasia maligna de esófago.
Figura 1. En los dos tercios inferiores del esófago y en la región pericardial se evidencia engrosamiento neoformativo que se asocia a múltiples adenopatías peritumorales, derrame pleural laminar bilateral y no se evidencian nódulos pulmonares. No lesiones significativas en el tórax.
Por ello el cual el paciente es referido al Hospital Edgardo Rebagliati Martins, ingresando a hospitalización mediante consultorio externo de la unidad de gastroenterología. En el examen físico, el paciente se encontraba en mal estado general, regular estado de hidratación y nutrición, despierto lucido y muy adelgazado, hemodinamicamente estable, afebril, con ligera palidez. En el examen físico se palparon dos linfadenopatias cervicales de 3,5×3,5 cm y 2,5×2,5 cm, de consistencia dura y adheridas a planos profundos; asimismo, en abdomen se auscultaron ruidos hidroaéreos aumentados en intensidad. El resto del examen clínico fue no contributorio.
También se le realizaron exámenes bioquímicos y hematológicos: La hemoglobina en 9,9 gr/dL, hematocrito 31,2%, leucocitos 8470, Neutrófilos 73,1%, linfocitos 16,9%, monocitos 7,9%, grupo sanguíneo O+, TP 6,72 seg, albúmina 3,33 g/dL, sodio 138 mEq/L, potasio 4,14 mEq/L, cloro 102 mEq/L, TGP 53 UI, TGO 36 UI FA 80 UI, GGT 23 UI, LDH 382 UI. VIH no reactivo, B2 microglobulina en 3,76 (VN 0,612,16). Asimismo, presento un pH de 7,34, pC2 34,2 y HCO3 19,1.
Se le solicitó una tomografía espiral multicorte (TEM) de cuello donde se observó la presencia de imágenes con densidad de partes blandas que conforman masas ganglionares en las cadenas yugulares internas a predominio izquierdo, las cuales miden entre 3 y 6 cm de diámetro y otras masas ganglionares en las cadenas mediastinales de carácter metastásico; engrosamiento significativo de la pared del segmento torácico inferior del esófago hasta 30 mm de espesor, de carácter estenosante, de aspecto neoformativo con compromiso ganglionar. Dilatación del esófago encima de este nivel e incidentalmente efusión pleural derecha. No se apreciaron otras lesiones significativas en tórax, abdomen o pelvis.
Se le realizo una endoscopía digestiva alta (Figura 2) donde se evidencia distensibilidad esofágica muy disminuida corroborándose los hallazgos previamente descritos y se realiza una biopsia.
Figura 2. Extensa lesión proliferativa, de color violáceo por sectores, con gran friabilidad al roce, abundante cantidad de fibrina y zonas de necrosis.
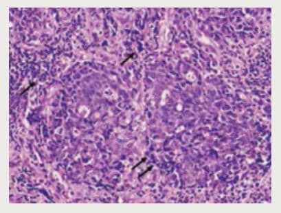
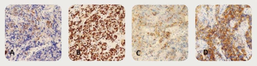
En la biopsia, se evidenció una neoplasia maligna pobremente diferenciada, con presencia de abundantes mitosis, que compromete y ulcera la unión cardioesofágica (Figura 3). La inmunohistoquímica evidenció cromogranina: negativo; sinaptofisina: negativo; CD56: positivo; y Ki-67: positivo (en alrededor del 90% de células tumorales); PanCk: positivo en aisladas células tumorales; y EMA: positivo. Al considerar los resultados positivos para CD56, PANCK y EMA asociada a la ausencia de clonalidad y expresión de marcadores linfoides, el caso es considerado como carcinoma neuroendocrino primario de esófago (Figura 4).
Figura 3. HE (40X) Infiltrado de células neoplásicas pequeñas.
Finalmente, el paciente presentó deterioro de su estado de salud con una evaluación clínica desfavorable. Se evaluó la posibilidad de que recibiera sesiones de quimioterapia con el objetivo de disminuir el tumor y que pueda ser resecado; sin embargo, el paciente presentó un episodio de neumonía aspirativa y fallece por un cuadro de falla multiorganica.
Figura 4. Inmunohistoquímica. A: PanCK positivo focal. B: Ki67 positivo. C: EMA positivo. D: CD56 positivo.
Discusión
Los carcinomas neuroendocrinos del tracto gastrointestinal conforman menos del 2% de todos los tipos de neoplasias de dicho sistema, siendo el más frecuente localizado en íleon terminal y el de esófago el más raro(8). Lo interesante de este tipo de neoplasia es que lamentablemente suelen mostrar síntomas generales y mínimos en estados muy avanzados de la enfermedad, con índices de mortalidad altos, los cuales afirman un mal pronóstico para el paciente(9). Inicia principalmente con disfagia a sólidos y líquidos, así como odinofagia; síntomas propios de la disminución de la luz del esófago, asociados a una notoria pérdida de peso como en la gran mayoría de tumores malignos. Suele presentarse con mayor frecuencia en los hombres entre los 50 a 70 años de edad y se localiza en los dos tercios inferiores del esófago(10).
El cáncer neuroendocrino se subdivide en tres: de células grandes, de células pequeñas o una presentación mixta(7). Según Kuriry et al., el carcinoma neuroendocrino de células grandes tiene aún peor pronóstico que los otros subtipos (11). Mientras que el de células pequeñas, suele ser metástasis de carcinoma pulmonar (12).
El carcinoma neuroendocrino de esófago es uno de los tumores del sistema gastrointestinal con peor pronóstico para los pacientes, dando una estimación de vida de aproximadamente 6 a 8 meses. Solo se han reportado alrededor de 20 casos de carcinoma neuroendocrino primario de esófago a nivel mundial (12). Los síntomas se desencadenan debido a la obstrucción de esófago, dejando al síndrome carcinoide como responsable menos frecuente de la clínica de la enfermedad. El único tratamiento con intención curativa es la esofagectomía, asociadas a sesiones de quimioterapia y radioterapia solo para estadios I y II, ya que para estadios más avanzados el tratamiento es solo paliativo (9).
Dentro de las características histopatológicas y de inmunohistoquímica, este tipo de neoplasia presenta un patrón histológico similar a los tumores neuroendocrinos tales como patrón alveolar, trabecular, tubular y/o sólida; además de una gran actividad mitótica la cual puede relacionarse con la expresión de Ki67 (13). Asimismo, la cromogranina y la sinaptofisina son los marcadores tumorales mayormente relacionados a esta patología debido a que ambos identifican a las células de tumores neuroendocrinos; sin embargo, cuando estas últimas no se identifican, también podemos considerar la expresión de CD56 como un marcador positivo. El antígeno de membrana epitelial (EMA) y la citoqueratina PanCK indican una alta especificidad para poder reconocer células epiteliales neoplásicas; motivo por el cual se solicitan cuando se sospecha de un carcinoma neuroendocrino (14).
Debido a la rapidez de metástasis de este tipo de patología, a su pobre pronóstico de supervivencia y a la rareza de estos casos, no se tiene ningún esquema de tratamiento fijo (11). Además, debido a que los procedimientos diagnósticos que deben ser realizados suelen tardar mucho tiempo debido al cuadro indolente de la lesión hasta estadios avanzados es difícil brindar un tratamiento oportuno (7), tal como sucedió en el caso presentado. El paciente falleció antes de poder recibir tratamiento.
Conclusión
El carcinoma neuroendocrino de esófago es un tumor infrecuente, de comportamiento agresivo y mal pronóstico. El diagnostico requiere estudios inmunohistoquímicos en adición a la histología convencional y en cuanto al tratamiento, este es quirúrgico en estadios tempranos, mientras que en estadios avanzados solo se usa tratamiento paliativo.
Conflicto de intereses: Los autores reportan no tener conflicto de intereses.
Referencias Bibliográficas
1. Torre LA, Bray F, Siegel RL, Ferlay J, Lortet-Tieulent J, Jemal A. Global cancer statistics, 2012. CA Cancer J Clin. 2015;65(2):87-108.
2. Domper Arnal MJ, Ferrández Arenas Á, Lanas Arbeloa Á. Esophageal cancer: Risk factors, screening and endoscopic treatment in Western and Eastern countries. World J Gastroenterol. 2015;21(26):7933-43.
3. Yang CS, Chen X, Tu S. Etiology and prevention of esophageal cancer. Gastrointestinal Tumors. 2016;3:3-16.
4. International Agency for Research on Cancer WHO. GLOBOCAN 2012: estimated cancer incidence, mortality and prevalence wordwilde in 2012. Ginebra: WHO; 2015 [citado el 24 de octubre de 2016]. Disponible en: http:// globocan.iarc.fr/Pages/fact_sheets_population.aspx
5. Instituto Nacional de Enfermedades Neoplasicas. Datos epidemiológicos, cuadros estadísticos 2000 – 2014. Lima: INEN; 2015 [citado el 24 de octubre de 2016]. Disponible en:http://www.inen.sld.pe/portal/estadisticas/datosepidemiologicos. html
6. Pérez Pereyra J, Frisancho Velarde O. Cáncer de esófago: características epidemiológicas, clínicas y patológicas en el Hospital Rebagliati-Lima. Rev Gastroenterol Peru. 2009;29(2):118-23.
7. Deng H, Ni P, Wang Y, Wang W, Chen L. Neuroendocrine carcinoma of the esophagus: clinical characteristics and prognostic evaluation of 49 cases with surgical resection. J Thorac Dis. 2016;8(6):1250-6.
8. Wu Z, Ma JY, Yang JJ, Zhao YF, Zhang SF. Primary small cell carcinoma of esophagus: report of nine cases and review of literature. World J Gastroenterol. 2004;10(24):3680-2.
9. Zúñiga Monge D. Tumores neuroendocrinos gastrointestinales. Med leg Costa Rica. 2013;30(1):89-98.
10. Modlin IM, Kidd M, Latich I, Zikusoka MN, Shapiro MD. Current status of gastrointestinal carcinoids. Gastroenterology. 2005;128(6):1717-51.
11. Kuriry H, Swied AM. Large-cell neuroendocrine carcinoma of the esophagus: a case from Saudi Arabia. Case Rep Gastroenterol. 2015;9(3):327-34.
12. Nayal B, Vasudevan G, Rao AC, Kudva R, Valliathan M, Mathew M, et al. Primary small cell carcinoma of the esophagus–An eight year retrospective study. J Clin Diagn Res. 2015;9(5):EC04-6.
13. Méndez-Vivas W, Salazar-Chavoya N. Carcinoma neuroendocrino primario de esófago. Reporte de un caso y revisión de la literatura. Evid Med Invest Salud. 2014;7(3):139-42.
14. Schwarz L, Mas L, Montenegro P. Carcinoma neuroendocrino de células grandes primario de esófago. Carcinos. 2011;1(1):23-27.
Todo el contenido de esta revista, excepto dónde está identificado, está bajo una Licencia Creative Commons





